Adresse Cabinet

Horaires

Téléphone

Chirurgie Orthopédique
Dr DUMOULIN

Prothèse totale de hanche

L'arthrose de la hanche, c'est quoi ?

L’arthrose est une maladie articulaire qui se caractérise par la destruction du cartilage. Quand elle est localisée au niveau de la hanche, on parle alors de coxarthrose. Vous pouvez ressentir des douleurs à la marche au niveau du pli de l’aine qui peuvent irradier à la face antérieure de la cuisse jusqu’au genou. La raideur, qui se manifeste par une limitation des amplitudes, est aussi un signe qui peux s’associer à une boiterie. Selon le stade et la gêne occasionnée, le traitement chirurgical peux alors répondre à vos attentes.

Pathologie : La Coxarthrose

L’intervention chirurgicale

L’intervention consiste à remplacer votre articulation. Celle-ci se compose de l’acétabulum ou cotyle, qui s’articule avec la tête fémorale. En pré opératoire, votre chirurgien planifie précisément l’intervention, suite à votre bilan radiologique, à l’aide de calques ou d’un logiciel dédié pour respecter l’anatomie, les axes et la longueur des membres inférieurs. Le chirurgien réalise une voie d’abord mini invasive postérieure. L’objectif est d’implanter une cupule métallique au niveau de l’acétabulum qui sera préparée à l’aide d’une fraise motorisée et une tige fémorale qui sera implantée après passage de râpes de tailles croissantes. Ces 2 implants vont s’articuler à l’aider d’une tête fémorale impactée sur la tige. Ces implants sont impactés dans l’os avec une tenue primaire osseuse (on parle de press-fit) ou si la qualité osseuse ne le permets pas ils sont alors cimentés dans l’os. En fin d’intervention, le chirurgien prendra le soin de suturer les muscles desinsérés lors de voie d’abord.

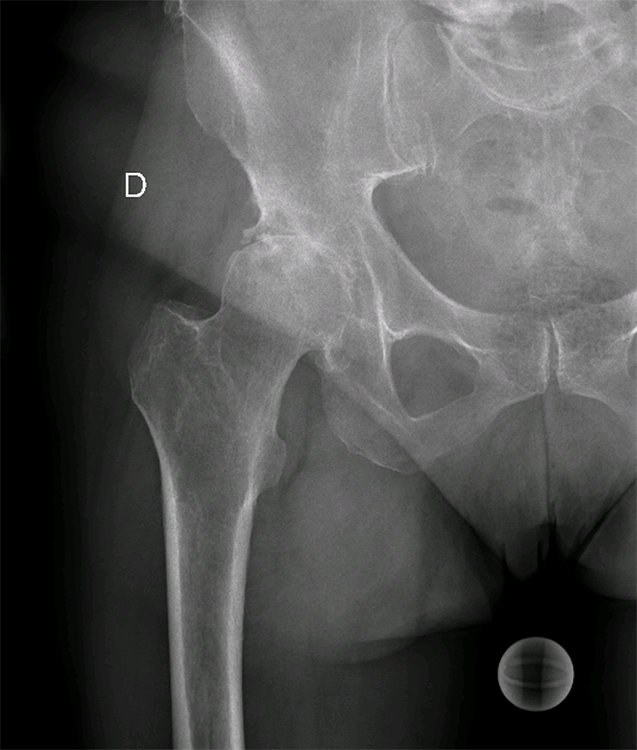
Radiographie hanche de face avec coxarthrose avancée
- Dr Dumoulin

Radiographie bassin de face avec coxarthrose droite
- Dr Dumoulin

Radiographie bassin de face , Post opératoire après PTH droite
- Dr Dumoulin

Radiographie de hanche de profil après PTH droite
- Dr Dumoulin

Modalités pratiques

Bilan préopératoire : Bilan sanguin, Consultation cardiologique, Bilan radiographique standard

Hospitalisation complète, durée moyenne de séjour 3 à 5 jours

Antalgiques et paire de cannes anglaises, Pansement tous les 3 jours jusqu’à cicatrisation complète. Ablation des agrafes au 15ème jour. Anticoagulation préventive pour limiter le risque de thrombose veineuse pour une durée de 4 semaines. Les ordonnances post opératoires vous seront remises lors de la consultations pré opératoire.

Marche avec cannes anglaises conseillés pendant un mois. Rééducation en centre non obligatoire sauf si vous êtes seul à domicile. Kinésithérapie à poursuivre sur 3 mois en fonction de votre récupération.

Luxation : Il s’agit d’une perte de contact entre l’implant acétabulaire et la tête fémorale. Les consignes pour limiter la survenue de cette complication durant le premier mois vous seront rappeler en post opératoire : limitation de l’hyperflexion (pas de position assise basse , contre-indication à la conduite pendant un mois ), limitation de la flexion rotation interne (attention au chaussage)
Infection : Le risque infectieux est prévenu par l’injection d’antibiotique avant l’incision selon le protocole de la Société Française des Anesthésistes Réanimateurs. Les implants sont stériles et déballés au dernier moment dans les consignes d’asepsie stricte.
Neurologique : Le nerf sciatique est protégé pendant toute l’intervention pour limiter le risque traumatique.
Inégalité de longueur des membres inférieurs : La planification préopératoire permet de limiter le risque d’inégalité. Cependant la mise ne place de l’implant peux parfois nécessiter un compromis entre l’allongement du membre de quelques millimètres et la stabilité de l’implant.
Hématome : le risque d’hématome est prévenu par la mise en place d’un redon dans l’articulation qui évite ainsi l’accumulation de sang. Cependant on peut observer une diffusion de cet hématome dans la région fessière jusqu’à la cuisse dans certains cas ; Un glaçage et du repos vous sera alors conseillé.
Fracture : Lorsque l’os est fragile, la mise en place des implants peux parfois engendré une fracture.